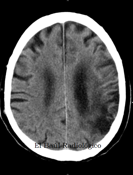
L'encefalomalacia è la degenerazione della sostanza cerebrale a seguito di un trauma (ischemia, emorragia, infezioni), che interessa l'encefalo in generale.
Si distingue dalla leucomalacia periventricolare, dove è interessata solo la sostanza bianca.
Il termine malacia (molle) identifica l'aspetto che le cellule cerebrali assumono dopo il decadimento, risultando positive alla valutazione ultrasonica (ecogenicità). All'encefalomalacia si associano spesso delle aree "vuote" più o meno diffuse, in corrispondenza delle cellule cerebrali decadute. Si configura quindi una encefalomalacia multicistica (o policistica).
Voci correlate
- Porencefalia
- Neuroradiologia del trauma cranico



